Introduction
Chimeric antigen receptor (CAR) T-cell therapy represents a paradigm shift in hemato-oncology, offering a targeted and potent immunotherapeutic approach with the potential to achieve durable responses in patients with various types of cancer.1 This innovative treatment involves the genetic ex vivo modification of a patient’s own T cells to express CARs that are specifically designed to recognize and bind to antigens present on the surface of cancer cells (but potentially also healthy cells). CAR T-cell therapy has demonstrated remarkable activity in a variety of hematologic malignancies, such as acute lymphoblastic leukemia (ALL), chronic lymphocytic leukemia (CLL), non-Hodgkin lymphoma and multiple myeloma.2–14 Furthermore, ongoing research efforts have expanded the application of CAR T-cell therapy to solid tumors. Clinical trials are underway to explore the efficacy of CAR T cells targeting antigens expressed by different solid tumor types, with promising early results suggesting the potential for broader utility of this approach in cancer treatment.15–17 Last but not least, CD19-directed CAR T-cell therapy has recently demonstrated remarkable efficacy in autoimmune diseases, achieving sustained remission in patients with systemic lupus erythematosus, idiopathic inflammatory myositis and systemic sclerosis.18
Despite these promising results of CAR T-cell therapy, some challenges remain to be addressed, including the development of strategies to overcome tumor escape mechanisms, enhance the persistence and efficacy of CAR T cells within the tumor microenvironment and manage significant toxicities associated with the treatment. CAR T cells may induce adverse events (AEs) through several mechanisms, including on-target/on-tumor, on-target/off-tumor and off-target/off-tumor toxicities19–27 (described in more detail in our previous publication).24 The most common complication associated with CAR T-cell infusion is cytokine release syndrome (CRS), a systemic inflammatory response triggered by rapid CAR T-cell activation and expansion, that can manifest with symptoms ranging from fever to more severe complications such as hypotension, vascular leakage and multi-organ dysfunction.28 Another frequently observed AE is immune effector cell-associated neurotoxicity syndrome (ICANS) that is caused by peripheral immune overactivation, blood–brain barrier dysfunction and central nervous system (CNS) inflammation and may manifest by cognitive disturbances, seizures and encephalopathy.29 Other frequent toxicities include long-term B-cell aplasia caused by the redirection of CD19-targeting CAR T cells against normal B cells simultaneously with malignant CD19-positive cells in B-cell lymphoid malignancies (a typical on-target/off-tumor effect).30
Apart from these frequent events, CAR T cells may also cause rare side effects. Recently we reported on a spectrum of rare toxicities of CAR T-cell products, specifically, cellular infiltrations and local inflammation in critical sites and damage to neuronal structures or functions.24 The current review article focuses on cardiovascular and hematopoietic complications, as well as other rare side effects of CAR T-cell therapy observed in clinical practice.
Cardiovascular complications of CAR T-cell therapy
Mechanisms of CAR T-cell cardiotoxicity
Severe cardiovascular events, including heart failure, cardiogenic shock and myocardial infarction, have been reported in patients receiving CAR T-cell therapy. In a retrospective analysis of 202 recipients of CD19-targeted CAR T cells enrolled in two clinical trials, 33 (16%) patients experienced a severe cardiovascular event at a median of 12 days after CAR T-cell infusion.31 These included 26 (13%) heart failure events, of which five (2%) developed cardiogenic shock and 11 (5%) had myocardial infarction. In a cohort of patients with non-Hodgkin`s lymphoma, the rate of atrial arrhythmias was almost four times higher among patients treated with CAR T cells than among all other cancer patients (adjusted risk of recurrence: 3.76 [95% CI: 2.67–5.29]).32 Of 236 patients, 10% developed atrial arrhythmias post-CAR T-cell infusion, including 12 de novo arrhythmias, with 83% requiring medical intervention. Frequent arrhythmias were also reported among 165 patients with relapsed/refractory large B-cell lymphoma (R/R LBCL) treated with axicabtagene ciloleucel (axi-cel) or tisagenlecleucel (tisa-cel).33 Overall, 16% of the patients developed at least one major cardiovascular AE within 30 days post-infusion, including 21 arrhythmias, four exacerbations of heart failure/cardiomyopathy, three myocardial infarctions (including one fatal case) and four cerebrovascular accidents. While these events may be short-term and reversible in younger individuals without a history of cardiovascular disease, they can lead to severe side effects in older and frail heavily pretreated patients with comorbidities.
The cardiovascular toxicity of CAR T cells is often reported in the context of CRS, with IL-6 being the key mediator of inflammation, and may manifest as tachycardia, hypotension, left ventricle (LV) systolic dysfunction, arrhythmia, cardiac arrest and elevated troponin levels.7,34,35 CAR T cell-induced cardiotoxicity may be caused by several mechanisms, including capillary leak syndrome, an acute increase in vascular permeability and cytokine release, which results in the loss of protein-rich fluid from the intravascular space.36 This condition is often observed during high-grade CRS and is associated with symptoms such as hypotension, pulmonary edema, systemic edema, hemoconcentration, hypoproteinemia and shock. LV systolic dysfunction after CAR T-cell therapy may also be caused by Takotsubo, or stress-induced, cardiomyopathy, with CRS-related supraphysiologic inflammatory response being the main stressor.37,38 In patients receiving CAR T cells for aggressive B-cell lymphoma, the risk of cardiovascular complications was significantly increased in patients who had CRS grade ≥3, earlier start and longer duration of CRS and those treated with tocilizumab, as well as in the elderly subgroup aged ≥60 years.33 Atrial arrhythmias frequently co-occurred with CRS and were associated with higher post-CAR T-cell infusion peak levels of inflammatory biomarkers, including IL-10 and TNF-alpha.32
Importantly, some studies have demonstrated an association between CAR T cell-induced cardiotoxicity and poor clinical treatment outcomes. In a multicenter registry study that evaluated data from 202 patients who received anti-CD19 CAR T-cell infusion, the occurrence of severe cardiovascular events, defined as a composite of heart failure, cardiogenic shock or myocardial infarction, was independently associated with evaluated overall mortality risk (HR: 2.8 [95% CI: 1.6–4.7]) and increased non-relapse mortality (HR: 3.5 [95% CI: 1.4–8.8]).31 Patients who died exhibited higher peak levels of IL-6 and ferritin and those who had severe cardiovascular events had higher peak levels of IL-6, C-reactive protein (CRP), ferritin and troponin after CAR T-cell infusion. However, in another retrospective analysis, the 30-day incidence of major cardiovascular events post CAR T-cell infusion was not significantly associated with progression-free survival or overall survival at a median follow-up of 16.2 months.33 Larger prospective studies with a longer follow-up are needed to better predict outcomes and identify risk factors predisposing for cardiovascular complications.
Case report: Coronary vasospasm during CAR T-cell infusion
A 76-year-old man with stage IV intraorbital R/R DLBCL and no history of cardiovascular disease developed acute coronary syndrome symptoms, including severe chest pain, shortness of breath, nausea, vomiting, flushing, low blood pressure and rapid heartbeat, in less than five minutes of receiving 0.8 mL out the 2.2 mL dose of CD19-directed CAR T-cell product.39 Electrocardiogram (ECG) revealed inferior ST elevations with reciprocal lateral ST depressions. Aspirin, heparin, nitroglycerin, morphine, diphenhydramine, famotidine, Epi-pen and one liter of normal saline were administered. Emergency coronary angiography revealed mild nonobstructive coronary disease with ≤30% stenosis in all vessels and the symptoms resolved after catheterization. The next day, echocardiography showed mildly reduced LV ejection fraction, normal right ventricular function and no regional wall motion abnormalities, and diltiazem and aspirin were prescribed. At 1.5 weeks post-infusion, the decision was made not to rechallenge the patient with CAR T cells. This case was considered to be consistent with coronary vasospasm. Its mechanism is not fully understood; however, it seems to be outside the context of clinical CRS given the immediate onset of symptoms and absence of fever and may be due to an anaphylactic reaction or cardiotoxicity of CAR T cells. Of note, dimethyl sulfoxide (DMSO), which is used for cryopreservation of cell products, has been reported to induce histamine release and provoke allergic reactions40,41 that may contribute to the development of coronary arterial spasm manifested as angina pectoris.42
Cardiac toxicity of CAR T cells
CD19-directed CAR T-cell therapy tisa-cel demonstrated marked responses in children and young adults with R/R B-cell precursor ALL,7 and other products are under investigation.43 While patients receiving CAR T cells may have pre-existing cardiac dysfunction due to prior therapy, studies evaluating cardiac CAR T-cell toxicity in the pediatric population remain scarce.
In a retrospective analysis of a phase I trial, cardiac toxicity was evaluated in pediatric and young adult patients (median age, 13.4 years; range, 4–30 years) with R/R CD19+ B-cell ALL or non-Hodgkin lymphoma who received investigational CD19-28ζ CAR T-cell therapy.44 The primary endpoint was cardiac dysfunction, defined as a >10% absolute decrease in LV ejection fraction compared with baseline or new-onset LV systolic dysfunction (grade 2, LV ejection fraction <50%). Among 52 treated patients, 71% developed CRS. Cardiac dysfunction occurred in 16% of patients with CRS requiring transfer to the intensive care unit (ICU) (Figure 1). Among the nine patients with grade ≥3 CRS (17%), four (44%) developed cardiac dysfunction. Patients with cardiac dysfunction were more likely to develop CRS earlier, have grade ≥3 CRS and receive tocilizumab. None of the patients developed clinically relevant arrhythmia, but one case of cardiac arrest on day 4 of CRS was reported, which resolved after aggressive management. Cardiac dysfunction was fully resolved in the four patients by day 28. Two patients still exhibited persistent cardiac dysfunction with decreased LV ejection fraction at day 28 but recovered to baseline after three months. Together, this pediatric study demonstrated that cardiac toxicity related to CAR T cell-associated CRS was generally reversible by day 28 and suggested that more frequent monitoring with formal echocardiograms and cardiac biomarker analysis may help identify patients at the highest risk of severe cardiac dysfunction.
CAR T-cell toxicities affecting the hematopoietic system
Hematologic toxicities, including neutropenia, thrombocytopenia, anemia and coagulopathies, have been frequently reported after CAR T-cell infusion.45–47 While hematological adverse events, now classified as immune effector cell-associated hematotoxicity (ICAHT), may be attributed to lymphodepleting regimens, bridging chemotherapy and radiotherapy, inter alia, in many patients cytopenias do not follow the typical chemotherapy-induced pattern of decline, followed by regeneration and recovery, but persist affecting one or multiple lineages over several weeks, without full recovery up to months after CAR T-cell treatment.47,48 In a small proportion of patients even blood transfusions and/or growth factors are necessary for prolonged periods of time. Recently, the CAR-HEMATOTOX model, which includes markers of hematopoietic reserve and baseline inflammation, was developed and validated in two independent cohorts of patients receiving axi-cel or tisa-cel for R/R large B-cell lymphoma. A high CAR-HEMATOTOX score was associated with prolonged neutropenia and higher rates of severe thrombocytopenia and anemia and identified bone marrow reserve and inflammation prior to CAR T-cell therapy as key features associated with delayed cytopenia.49
Apart from frequently occurring ICAHT, less common hematologic toxicities may be observed following CAR T-cell therapy. A chronically inflamed bone marrow environment and heavy pretreatment before CAR T-cell infusion may create a milieu promoting secondary malignant transformations such as myelodysplastic syndrome (MDS) and acute myeloid leukemia (AML). There is increasing evidence in the literature regarding the development of secondary myeloid malignancies after CAR T-cell therapy. Secondary primary malignancies were reported in 536 of 12,394 (4.3%) AEs following CAR T-cell infusion recorded in the Food and Drug Administration (FDA) Adverse Event Reporting System, among them MDS (208 of 536, 38.8%), AML (106 of 536, 19.8%) and myeloproliferative neoplasms (n=7).50 Clonal hematopoiesis of indeterminate potential (CHIP) is common in patients exposed to cytotoxic therapies and is associated with poor prognosis in patients undergoing autologous cell transplantation.51,52 Interestingly, while CHIP was present in 48% of patients and associated with increased rates of complete response and CRS severity in patients with non-Hodgkin lymphoma and multiple myeloma undergoing CAR T-cell therapy, it did not influence survival rates,53 suggesting that clonal hematopoietic mutations can influence inflammatory pathways through diverse mechanisms across different therapeutic contexts.
Furthermore, T-cell non-Hodgkin lymphomas were identified in 3.2% of the FDA reports (0.1% of all CAR T-cell therapy reports); among these cases were 12 anaplastic large T-cell lymphomas, three peripheral T-cell lymphomas, one angioimmunoblastic T-cell lymphoma and one enteropathy-associated T-cell lymphoma.50 In a single-center study involving 724 patients treated with CAR T-cell products, one case of T-cell lymphoma was reported in a patient treated for DLBCL, with no evidence of oncogenic retroviral integration.54 A case of indolent CD4+ CAR T-cell lymphoma involving the small intestine was reported in a patient treated with CAR T cells for multiple myeloma, with a single lentiviral insertion site identified in tumor and peripheral blood and additional multiple genetic alterations which may have caused oncogenic transformation. Together, these data demonstrate that while rare, secondary tumors represent an emerging concern in CAR T-cell therapy.
Case series: Myelodysplastic syndrome after CAR T-cell infusion
MDS has been identified among late AEs (>90 days) after CAR T-cell infusion.48,55,56 Emerging data suggest that MDS may be the underlying etiology of prolonged cytopenia in patients after CAR T-cell administration. Dhaliwal et al. (2023) published a case series of four patients who developed prolonged cytopenia after CAR T-cell therapy with tisa-cel for R/R B-cell lymphoma.57 The patients (median age, 72.5 years) had multiple risk factors for the development of MDS/clonal cytopenias of undetermined significance (CCUS), such as several lines of prior chemotherapy, HSCT and lymphodepletion prior to initiation of CAR T-cell therapy. None of the patients had prior clonal hematopoiesis-related cytogenetic abnormalities. Among the described patients, three achieved a complete metabolic response (CMR) and one achieved partial or near-CMR to CAR T-cell therapy. Post-infusion examinations revealed prolonged cytopenia and either MDS (n=2) or CCUS (n=2) diagnosis was established within 1–26 months. The CCUS cases underwent bone marrow evaluation early in the course of cytopenia and may eventually progress to MDS, AML or myeloproliferative neoplasm. These data underscore the importance of long-term follow-up of patients receiving CAR T cells to identify MDS or CCUS, especially in patients with prolonged cytopenia.
Case report: Acute myeloid leukemia after CAR T-cell infusion for diffuse large B-cell lymphoma
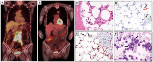
AML developed after CD19-directed CAR T-cell therapy was reported in a 69-year-old woman with R/R DLBCL.58 Prior to CAR T-cell infusion, the patient received several lines of therapy including R-BENDA (bendamustine plus rituximab), R-CMP (rituximab, cyclophosphamide, non-pegylated liposomal doxorubicin and prednisone), R-DHAOX (rituximab, dexamethasone, cytarabine and oxaliplatin), followed by autologous HSCT, R-lenalidomide (rituximab plus lenalidomide), HAM (high-dose cytarabine and mitoxantrone) and total lymph node irradiation. A bone marrow biopsy taken prior to CAR T-cell infusion showed hypocellular bone marrow attributed to previous therapies without evidence of MDS or AML (Figure 2). After infusion, the patient had no CRS or neurotoxicity but developed persistent severe pancytopenia. A subsequent bone marrow biopsy 60 days post-CAR T-cell therapy revealed AML with a complex karyotype, including monosomy 7. Treatment with 5-azacitidine plus venetoclax was initiated as a bridge to potential allogeneic HSCT, but venetoclax was discontinued after the first cycle due to persistent pancytopenia. AML persisted after two cycles of 5-azacitidine, with continued pancytopenia, while DLBCL remained in complete remission six months after CAR T-cell therapy. The pathogenesis of AML is unclear. The possibility of lentiviral vector-mediated insertion of the CAR transgene into AML-associated genes was excluded by flow cytometry. The investigators hypothesized that AML developed due to immunosuppression related to lymphodepletion prior to CAR T-cell infusion,58 although the influence of prior genotoxic treatments, such as anthracyclines or radiotherapy, is likely to be the most important factor contributing to secondary malignancies.
Case report: Myeloid lineage switch after third CAR T-cell therapy
A significant number of patients experience relapse following CAR T-cell therapy for R/R CD19+ B-cell malignancies, either due to the low persistence of CAR T cells or the emergence of tumor cell clones that have lost CD19 expression due to mutations and splicing variants in the CD19 gene.59 A less common relapse mechanism involves a myeloid lineage switch, as observed in a pediatric patient with ZNF384-rearranged leukemia initially diagnosed with B-cell ALL at 13 months of age.60 The first CAR T-cell therapy resulted in a brief minimal residual disease (MRD)-negative remission of four months. After MRD re-emergence, a second CAR T-cell infusion using the same construct failed to elicit a response. Subsequently, allogeneic HSCT was performed, followed by a second CD19+ relapse four months later. A third CAR T-cell therapy using the CD28tm/4–1BBζ-T2A-EGFRt CAR vector61 was administered, resulting in MRD-negative remission, followed by a second HSCT. However, after eight months, bone marrow aspirate and biopsy showed AML with minimal differentiation, with 26% of blasts exclusively expressing myeloid markers.60 Next-generation sequencing (NGS) identified the presence of a TCF3-ZNF384 fusion, which was later confirmed in tumor cells when the patient still presented with B-cell ALL. It was postulated that leukemia was clonally related to pre-HSCT B-cell ALL, representing a relapse with a lineage switch rather than a new primary leukemia or therapy-related myeloid neoplasm. The patient received palliative care and died from progressive disease four months after the last relapse.
Infectious complications
Immune system dysregulation caused by lymphodepletion regimens and CAR T-cell infusion may lead to immunosuppression and the development of infectious complications, which significantly increases treatment-associated morbidity and mortality. Of note – CAR T cells directed against CD19+ B cells regularly lead to clinically profound hypogammaglobulinemia, which should be routinely monitored and, if indicated, substituted using intravenous or subcutaneous immunoglobulins.
The rates of infections reported in clinical trials range between 40% and 70%, depending on the specific CAR T-cell product.2,7,14,62–65 Importantly, CAR T-cell therapy may induce prolonged immune deficiencies that persist for years. In patients treated with tisa-cel and axi-cel, any-grade infections were reported in up to 55% of patients and grade ≥3 infections in up to 33% of patients within the first 1–2 years post-infusion,65,66 with fatal infections occurring in <5% of patients. Bacterial infections are the primary cause of severe infections and infection-related deaths, while fungal and viral infections, including those caused by herpes zoster and cytomegalovirus, occur less frequently.67 Rare and severe infections, as typically seen only in severely immunocompromised patients, have been observed also in patients following CAR T-cell treatment, and need to be considered.
Infectious complications should be considered before and immediately after CAR T-cell infusion as well as during long-term follow-up. Comparable to prophylactic and therapeutic antimicrobial treatments following autologous and allogeneic hematopoietic cell transplantation, patients must be carefully monitored, and prophylactic measures taken, while immune deficiency persists. The CAR-HEMATOTOX model represents a useful tool for identification of patients at high risk of infectious complications and poor survival outcomes who could benefit from close monitoring and anti-infectious profilaxis.68
Case report: Fatal case of progressive multifocal leukoencephalopathy
Progressive multifocal leukoencephalopathy (PML) is a rare and potentially life-threatening disease characterized by progressive damage to or inflammation of the white matter of the brain. It is caused by human polyomavirus 2, commonly referred to as John Cunningham (JC) virus, and primarily affects patients with severe immune deficiency. Ahrendsen et al. (2021) reported a rare case of PML in a 68-year-old woman who received CD19-targeted CAR T-cell therapy with lisocabtagene maraleucel (liso-cel) for R/R B-cell non-Hodgkin lymphoma.69 The patient achieved complete remission; however, at two years post-infusion, she presented with two weeks of progressive aphasia. The examinations revealed a lesion in the left occipital pole on brain magnetic resonance imaging (MRI), severe hypogammaglobulinemia, low CD4 counts, the presence of JC virus in the cerebrospinal fluid and serum and features consistent with PML on tissue biopsy (Figure 3). Treatment with intravenous immunoglobulin, mirtazapine and pembrolizumab led to decreased cerebrospinal fluid viral load; however, the patient did not experience clinical improvement and died eight weeks after presentation. This case highlights the potential for immune dysregulation following CAR T-cell therapy, which may lead to severe opportunistic infections, such as fatal PML, indicating that the improvement of post-treatment immune reconstitution is essential for the successful outcome of CAR T-cell therapy.
Other rare toxicities
Case report: CRS-related severe bloody diarrhea
Gastrointestinal complications of CRS, such as abdominal pain, nausea, vomiting, diarrhea and abdominal distension, occur in approximately 15% of patients undergoing CAR T-cell therapy.70 While these symptoms are mostly mild and self-limiting, severe AEs may occur in rare cases. A case of severe bloody diarrhea was reported in a 10-year-old boy with refractory B-cell precursor ALL after tisa-cel infusion who had previously undergone allogeneic HSCT.71 The clinical course included a fever of >39 °C from day 4, with neck erythema and petechiae on the extremities. By day 5, the patient developed severe abdominal pain that progressed to bloody diarrhea by day 8, with a volume <500 mL/m2 per day and a frequency of 10–30 times per day, corresponding to grade 3 gastrointestinal dysfunction. Laboratory tests excluded the presence of common viral and bacterial infections. Lower gastrointestinal endoscopy revealed diffuse mucosal edema and superficial geographic ulcers predominantly in the ascending colon. Biopsies from the small and large intestines showed ulcerative inflammatory changes involving lymphocytes, plasma cells and neutrophils, with a lack of epithelial cells. Mild anemia (Hb 9.0 g/dL) and thrombocytopenia (59 × 109/L) were observed. Although diarrhea is a typical symptom of graft-versus-host disease (GVHD), there was no evidence of GVHD in this case. The patient received a single dose of tocilizumab and fever, cutaneous manifestations and gastrointestinal bleeding ceased after day 11. Diarrhea resolved by day 25 and the patient remained in complete remission for 15 months after CAR T-cell infusion. It was concluded that CRS and not GVHD was the cause of bloody diarrhea in this patient; nevertheless, the possibility of GVHD should be investigated in patients receiving CAR T cells who experience relapse after transplantation.
Case reports: Thrombotic microangiopathy after CAR T-cell therapy
Thrombotic microangiopathy (TMA) is a heterogeneous group of disorders characterized by thrombocytopenia, microangiopathic hemolytic anemia and organ damage.72 Two cases of TMA were reported by Wu et al. (2023) in patients who had undergone CAR T-cell therapy.73 The first case involved a 64-year-old male with relapsed DLBCL. Three months after anti-CD19 CAR-T cell infusion, the patient exhibited elevated serum creatinine levels, thrombocytopenia, progressive anemia and a urinary protein test result of 1+. Immune-mediated thrombotic thrombocytopenic purpura (TTP) was excluded and levels of complement components were within the normal range. Due to significant thrombocytopenia and bleeding risk, a kidney biopsy was not performed. The patient spontaneously recovered, with creatinine levels and transfusion-independent platelet counts eventually normalizing over the following year.
The second case involved a 59-year-old male with relapsed multiple myeloma and cast nephropathy who underwent B-cell maturation antigen (BCMA)-targeted CAR T-cell therapy. After three months, he presented with progressive proteinuria, thrombocytopenia and fragmented red blood cells, although he remained asymptomatic and achieved complete remission for multiple myeloma. Clinical evidence suggested a secondary glomerular pathology, leading to a diagnosis of TMA. The kidney biopsy was declined by the patient. Currently, he continues to be clinically monitored and has maintained a stable condition. Although transplant-associated TMA has been regarded as a poor prognostic factor in transplant patients, in both CAR T-cell therapy cases described above, the patients demonstrated some recovery of renal function, indicating a relatively limited clinical course in their TMA presentations.
Case report: CRS-induced collapsing focal segmental glomerulosclerosis and acute kidney injury
Acute kidney injury (AKI) is a rare complication of CAR T-cell therapy caused by CRS-induced damage. A case of collapsing glomerulopathy associated with AKI and subsequent chronic kidney disease was reported in a male patient in his early 20s with R/R pre-B-cell ALL and compensated liver cirrhosis after three courses of tisa-cel.74 Four days after the third infusion, he developed grade 2 CRS, which was managed with tocilizumab. A week after the third CAR-T therapy, the patient developed new-onset nephrotic syndrome and AKI. Kidney biopsy showed collapsing glomerulopathy, glomerulitis and interstitial nephritis, along with complete podocyte foot process effacement. Owing to disease progression, the patient received salvage therapy with the bispecific CD19-directed CD3 T-cell engager antibody blinatumomab, which was complicated by two more episodes of grade 2 CRS requiring three additional doses of tocilizumab, with exacerbation of nephrotic-range proteinuria and AKI progressing to stage 3 chronic kidney disease. Due to persistent disease and the absence of CD19 expression, palliative chemotherapy was initiated. The investigators postulated that excessive CRS-induced podocyte and renal tubulointerstitial injury and/or direct renal cell toxicity likely contributed to kidney injury.
Conclusion
Rare toxicities associated with CAR T-cell therapy include cardiovascular and hematologic complications, infectious complications caused by certain viruses, acute kidney injury, thrombotic microangiopathy and other infrequently observed AEs. As research continues to advance and technologies evolve, the promise of CAR T-cell products in transforming the oncology landscape remains a focus of investigation. Efforts to systematically describe treatment-associated AEs, including rare toxicities, and develop novel strategies for their prevention, diagnosis and management are crucial for optimizing the safety and efficacy of CAR T-cell therapy.
Conflict of interest
Prof. Antonia Müller has received honoraria for consultancy or expert opinion from Novartis, KITE/Gilead and Janssen, as well as honoraria for presentations and advisory board payments from Novartis, KITE/Gilead, Janssen and Celgene/BMS. These funding entities did not play a role in the development of the manuscript and did not influence its content in any way.
Funding
The author has declared that no financial support was received from any organization for the submitted work.
Author contributions
The author has created and approved the final manuscript.
_in_patients_with_cytokine_release_syndrome_(crs).jpeg)
_after_anti-cd19_chimeric_antigen_receptor_(car)_t-cell_infusi.jpg)
_t-cel.jpg)